mindestens

1 jahr

Laufpause

KNIESCHMERZEN

Meine Leidensgeschichte

Es folgen nun etliche Zeilen, die meine Situation meiner Knieschmerzen und der dazugehörigen Therapie über Jahre beschreibt. Falls du auch Knieprobleme hast, hoffe ich, dass du für dich eine Lösung findest. Gib dich nicht auf. Los gehts.

Beschreibung
TRAINING / AUSDAUER

2 Marathons in 2 Wochen.

Nachdem ich zum vierten oder fünften Mal Corona hatte, rappelte ich mich nach einer 3-wöchigen Laufpause wieder auf.

Ich startete mit langsamen Läufen und über Wochen war es mir dann wieder möglich, 30km am Stück zu laufen. Die Form war gut. Ein langer Lauf pro Woche war möglich.

Mit rund 50 Wochenkilometern hatte ich mal wieder Lust, einen Marathon im Training zu laufen. Für mich alleine. Dies tat ich. Es sollte in rund 4h quer durch den Wald gehen. Abseits der Wege, Trail, Matsch, Spaß.

Zwei Wochen später fühlte ich mich erholt und es ergab sich ein Zeitfenster von 4 Stunden. Dieses Mal wollte ich erneut einen Marathon im Training laufen. Ich hatte mit meiner Frau darüber gesprochen, ob ich noch einmal eher Trail oder Straße laufen sollte. Ich hatte Lust auf Asphalt.

Auf ein monotones stundenlanges Laufen. Abschalten, laufen lassen. Gucken, wie es wird.

Als Pace setzte ich mir einen 5er Schnitt. Grob könnte da ein Marathon in 3:30h am Ende rauskommen. Ausgerüstet mit einem Laufrucksack, Trinken, Verpflegung und ein bisschen Kleingeld sowie Taschentüchern lief ich los.

Der Lauf war grandios. Alleine nur mit der Musik im Ohr lief ich an einem Sonntag über Feldwege und Landstraßen. Ich dachte, dass ich bei Kilometer 35 einbreche. Tat ich nicht.

Das war krass. Es lief super. Eine Pace von knapp 4:50min/km war machbar. Klar war es anstrengend, aber im Limit. Am Ende stand eine Zeit unter 3:30h auf der Uhr. Krass.

Marathon Training
Knieschmerzen Phase
RÜCKSCHLAG

Kurze Laufpause – dachte ich.

Krass waren dann plötzliche Knieschmerzen. Während dem Lauf war nichts.

Danach, im Stand, tat es weh.

„OK, Laufpause, kühlen und dann wird es schon wieder“ – dachte ich mir.

4 Jahre später, 11 Orthopäden, über 1000€ ärmer, schreibe ich diese Zeilen.

Komische Laufpause.

Ab zum Arzt. Der erste MRT-Besuch. Ein Bild. Eine Aussage. Physiotherapie soll ich machen.

Es ist wohl die Kniesehne, auch Patellasehne genannt. Das Wort Patellaspitzensyndrom, auch Läuferknie genannt, begleitet mich lange.

Das Laufen ist nur noch unter Knieschmerzen möglich. Ich laufe nur noch Strecken unter 10km, bald unter 5km. Alles in einem Tempo, was für mich sehr entspannt ist. Es steht immer eine 6 bei der Pace vorne.

Dran ist nichts falsch. Aber mit Schmerzen laufen ist der letzte Scheiß. Darum wird das Laufen immer weniger. Das fühlt sich an, wie ein Entzug.

Da bist du jahrelang gelaufen, warst schlecht gelaunt, wenn du mal einen Tag nicht laufen gehen konntest – und nun das.

Ich würde lügen, wenn ich sage, dass mich das alles kalt gelassen hat.

3 JAHRE

3 Jahre Knieschmerzen.

Neben Physiotherapeuten und Osteopathen entschied ich mich dazu, mir Hyaluronspritzen in das Kniegelenk geben zu lassen. Die muss man als Kassenpatient selbst bezahlen .

Es gibt unterschiedliche Qualitäten an Spritzen. Meine kosteten mich pro Spritze 50€. Es tat nicht weh. Das war komisch. Wie ein kleiner Stich. Nach der fünften Spritze sagte man mir, ich muss noch 2–3 Wochen warten, bis sich was tut. Es tat sich nichts. Geld verbrannt. Schade.

Da ich davon ausging, es sei die Patellarsehne, belas ich mich. Sehnen brauchen Belastung. Dosiert und vorsichtig gesteigert. Die mögen Gewicht. Regenerieren aber sehr langsam. Also ging es ans langsame Belasten mit Gewichten.

Gewicht hieß dann bei mir: Kniebeuge mit einem Rucksack voller Reispackungen und ein 6er-Pack Wasser vor der Brust.

Das tat ich 3 Monate lang. Die Knieschmerzen wurden nicht weniger. Gut ein Jahr war nun schon vergangen.

Das zweite Jahr war dann von erneuten Arztbesuchen und Therapien geprägt. Laufen wurde noch weniger. Lasertherapie und folgend auch eine Behandlung mit Eigenblut sowie einer Stoßwellentherapie.

Kurz dazu: Ich habe 150€ pro Sitzung bezahlt. Drei Mal habe ich das mitgemacht. 10 Minuten Stoßwelle. Dabei hatte ich solche Schmerzen, dass ich mich an der Liege fest hielt. Unangenehm.

Dann wurde Blut am Arm abgenommen, um es 5 Minuten später unter Ultraschall in das Kniegelenk, in die Sehne, zu spritzen.

Leck mich am Arsch. Schmerz ist ja das Eine. Aber wenn der Grad so hoch wird, dass es unerträglich wird und man fast bewusstlos wird… Ich hab das dann, wie gesagt, drei Mal machen lassen.

Das Ganze lief über Monate und am Ende gab es wieder Monate voller Hoffnung und abwarten, ob die Therapie hilft. Mittlerweile sind wir am Ende des zweiten Jahres ohne schmerzfreies Laufen. Also lief ich nicht. Macht kein Spaß. Tut weh.

Die Eigenbluttherapie zeigte leider nicht die gewünschte Wirkung. Ich fuhr nach Hannover zum Spezialisten. Dieser meinte: „Das ist kein schlimmer Schaden. Das muss nicht operiert werden“.

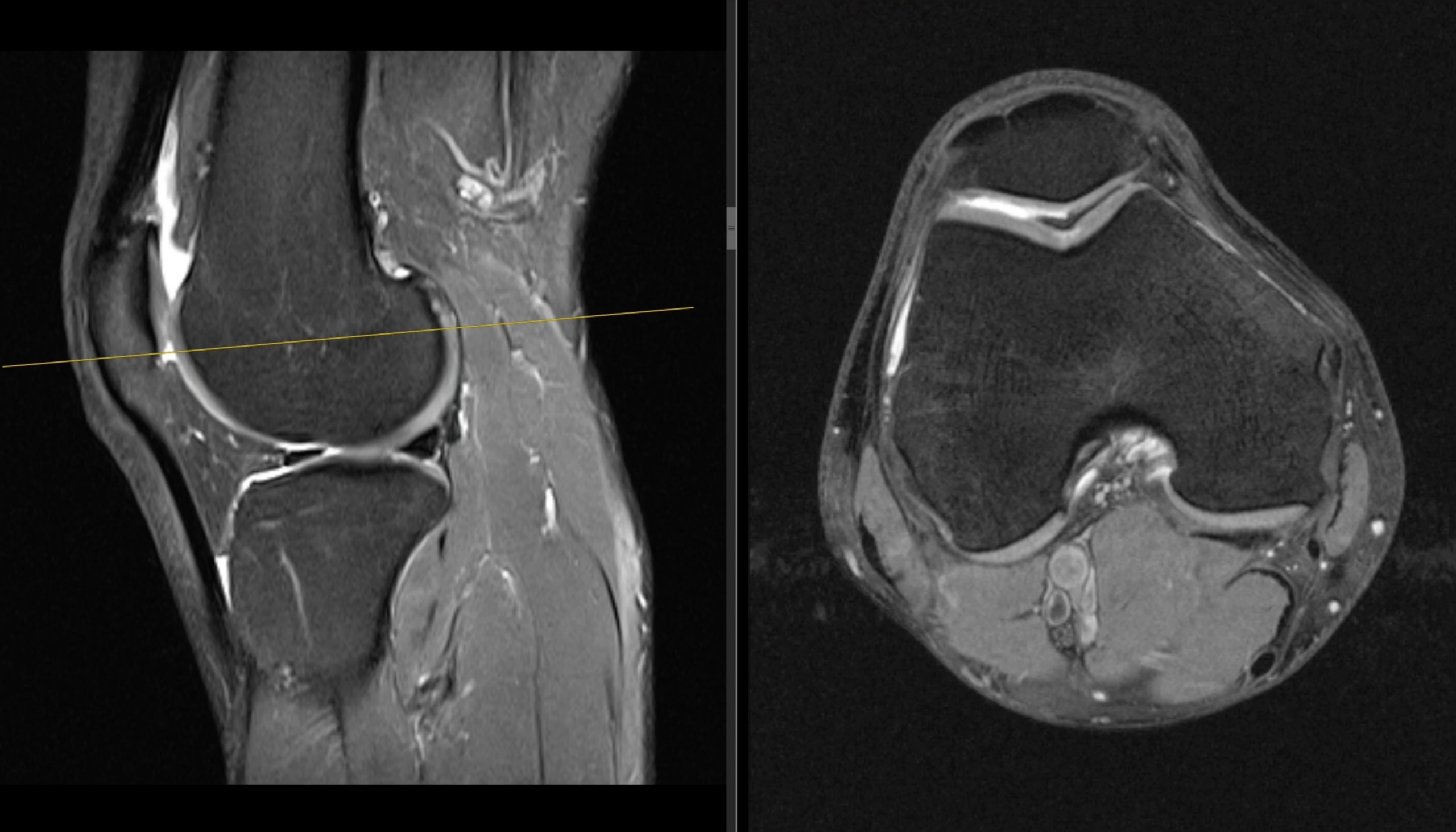
„Knie – verschiedene Phasen / Befunde“
„Mikrofrakturierung – OP & Verlauf“
OP-ENTSCHEIDUNG

Was wird jetzt operiert?

Mittlerweile ging man von einem Knorpelschaden aus. Dieser lag mittig genau unter der Patellarsehne. Darum wurde wohl auch in den Jahren zuvor eine andere Diagnose gestellt und dementsprechend behandelt. So what.

Knorpelschaden am Knie. Eine alte Geschichte, die mich 2016 schon einmal am rechten Knie begrüßte. Damals sagte man mir schon, ich soll das Laufen sein lassen. Damals lief ich durch den Knieschmerz und er verschwand. Nun ist es am selben Kniegelenk mittig. Grad 2–3.

Diese Einteilung in Schweregrade ist meiner Erfahrung nach mit Vorsicht zu genießen. Oft wird das nach der Größe des Defektes eingeteilt. Im Endeffekt ist für mich das Gefühl ausschlaggebend.

Nach einer kurzen Recherche und weiteren Arztbesuchen verging das dritte Jahr wie im Flug. Am Ende stand für mich fest: Ich will keine Knieschmerzen haben.

Diese hatte ich auch im Alltag. Belasten ging nicht mehr. Nicht mal druckvoll Radfahren. Das kann halt nicht sein. Laufen war weit weg.

So entschied ich mich Anfang 2025 für eine Operation. Viel wichtiger war jedoch die Reha danach. Ohne richtige Reha im Anschluss braucht man sich nicht am Gelenk operieren lassen, finde ich.

Bei meiner Krankenkasse gab es ein Programm mit 5 Monaten, 3x/Woche eine Stunde Physiotherapie. Am Gerät, kein lasches Rummassieren. Den Eigenanteil habe ich gerne bezahlt.

Die OP selbst verlief problemlos. An dieser Stelle möchte ich Dankbarkeit walten lassen.

Als Methode wurde bei mir eine Mikrofrakturierung durchgeführt. Der defekte Knorpel wurde entfernt. Der Knochen darunter angebohrt. Aus diesem Loch soll Knochenmark herausbluten und eine Art Ersatzknorpel bilden.

Das Ganze habe ich nun an einem Kniegelenk zwei Mal.

REHA

5 Monate Reha.

Die Reha verlief gut. Ich lief 6 Wochen an Krücken, durfte 3 Monate kein Auto fahren und nach 12 Wochen wieder Radfahren.

Ich fuhr ein E-Bike. Das hat meine Sichtweise auf E-Bikes geändert.

Auch, wenn ich es immer noch nicht verstehe, warum Wolfgang mit 25km/h ohne Helm fährt.

Anderes Thema.

REHA PHASE

Radfahren? – Aber bitte Indoor.

Das Radfahren wurde ein großer Teil meiner Bewegung. Ohne Belastung.

Gut steuern ließ sich das über das Indoorradfahren.

Relativ schnell fuhr ich auf der Plattform Zwift. Anfangs 15 Minuten mit rund 10 Watt.

Nach Monaten dann auch eine Stunde bei 100 Watt. Der Vorteil: Es ist steuerbar. Man kann es nicht übertreiben. Es ist nachvollziehbar. Es ist motivierend. Du kannst es zu Hause machen.

On top ist diese Form der Reha – oder eben auch das reine Radfahren – mit dem Zwift Ride ein Traum.

Es funktioniert einfach. Keine Kompromisse.

Ein Video habe ich dir hier einmal verlinkt, wie ich das Ding aufbaue. Wenn du jetzt schon Bock auf so ein Teil hast, nutz gerne den Link.

Dann bekomme ich eine kleine Provision – und du das beste Indoorbike auf dem Markt. (Werbung)

AKTUELLER STAND

Ein Jahr nach der OP.

Das ist nun mein Stand. Nach knapp 4 Jahren, davon 1 Jahr nach der Operation, fahre ich viel Rad. Ich laufe nicht. Noch nicht? Nie wieder? Das kann ich nicht beantworten.

Abschließend.

Geduld. Hab' Geduld.
Es braucht Zeit.

Gerade so ein scheiß Knorpelschaden.

Ich hoffe, ihr kommt gut aus der Sache raus.

Bleibt positiv. Es gibt tatsächlich mehr als das Laufen im Leben.

Familie. Gesundheit.

Werdet gesund.
Bleibt gesund.

Aktueller Stand